Unterseeische Wälder, Inselwelten oder Baumriesen – Sie wirken fast wie Szenen aus einem Fantasiefilm: Die Aufnahmen, die mit Hilfe von Mikroskopen, Endoskopen oder MRT in den Häusern entstehen. Drei KRH Experten zeigen ihre Lieblingsbilder:
Diagnostische Bildgebung entführt auch die Experten in unwirkliche Welten
Unterseeische Wälder, Inselwelten oder Baumriesen – Sie wirken fast wie Szenen aus einem Fantasiefilm: Die Aufnahmen, die mit Hilfe von Mikroskopen, Endoskopen oder MRT in den Häusern entstehen. Drei KRH Experten zeigen ihre Lieblingsbilder:

"Im Rahmen unserer Untersuchungen des Darmtraktes sehen wir bewegte Bilder nicht wie hier nur ein Foto. Man muss es sich so vorstellen, dass die Dünndarmzotten sich im Rhythmus der Darmperistaltik hin- und herbewegen. Man taucht quasi in eine andere Welt ein. Es ist alles friedlich und man fühlt sich an einen Tauchgang in einem Korallenriff erinnert. Es fehlt nur, dass noch ein kleiner Fisch vorbei schwimmt." - Prof. Dr. Jochen Wedemeyer, Chefarzt der Klinik für Innere Medizin (Gastroenterologie) in Gehrden

"Der Computertomograph zeigt uns das Innere des Körpers in Schichten. Bei dieser Aufnahme ist eine Vielzahl von Schnitten übereinandergerechnet und zu einem 3D-Bild verschmolzen. Mich erinnert die Darstellung der Lunge immer an von Wind und Wetter bearbeitete Bäume auf einem Bergkamm. Auf der rechten Bildseite unten und auf der linken Bildseite im oberen Bereich sieht man übrigens die Milchglastrübungen, die bei einer Infektion mit dem Coronavirus in der Lunge entstehen können." - Dr. Götz Voshage, Chefarzt des Instituts für Diagnostische und Interventionelle Radiologie in Gehrden und Neustadt (Copyright Foto: Siemens Healthcare GmbH)

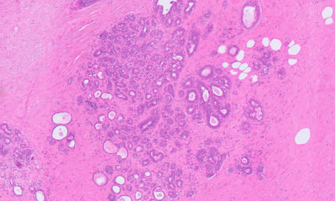
"Zu unseren Aufgaben in der Pathologie gehört es, Zellgewebe von Patienten auf mögliche krankhafte Veränderungen hin zu untersuchen. Diese Tumorzellen gehören einfach nicht dorthin, und das sehen wir als erfahrene Diagnostiker sofort. Sie stören einfach die harmonische Struktur, die sich uns, wie in diesem Fall bei tumorfreiem Gewebe aus der Brustdrüse, darstellt. Die Farbe entsteht übrigens erst bei der Aufbereitung des Zellschnitts. Er erlaubt es, bestimmte Strukturen im Gewebe besser zu erkennen." - Prof. Dr. Ludwig Wilkens, Chefarzt des Instituts für Pathologie im KRH